矯正中でもできるホワイトニング|福岡でお探しの方へ
「矯正中はホワイトニングできない」
そう思っている方は、福岡でも少なくありません。
実際、従来のホワイトニングではブラケット矯正中は断られるケースが多かったのも事実です。
しかし現在は、矯正中でも行えるホワイトニングという選択肢があります。
福岡・天神南にある天神南矯正診療歯科では、矯正治療を専門に行う歯科医院として、トランセントフラッシュホワイトニングを
矯正中の方にもご提案しています。
矯正中のホワイトニングで、こんなことで悩んでいませんか?

- 矯正中はホワイトニング不可と言われた
- ブラケットがあると色ムラになりそう
- 矯正装置まわりの着色が気になる
- 矯正期間が長く、白さを我慢したくない
- 写真・仕事・人前での印象が気になる
これらは、矯正治療を受けている方が必ず一度は感じる不安です。
結論|矯正中でもホワイトニングは「可能なケースがあります」

はっきりお伝えします。
矯正中でもホワイトニングは可能です。
ただし、すべての方法・すべてのケースで可能ではありません。
一般的な薬剤を使ったホワイトニングでは、
- 薬剤がブラケットの下に届かない
- 色ムラが出やすい
- 装置への影響が心配
といった理由から、矯正中の施術は推奨されないことが多いのです。
なぜトランセントフラッシュホワイトニングなら可能なのか

トランセントフラッシュホワイトニングは、
光の力を使って歯の内部に働きかけるホワイトニングです。
特徴① 歯の内部から白さにアプローチ
歯の表面だけを処理するのではなく、
歯質内部に作用するため、
ブラケット装着中でも効果が届きやすいとされています。
特徴② 薬剤を使用しない
過酸化水素などの漂白薬剤を使用しないため、
- 知覚過敏が起こりにくい
- 矯正装置への影響が少ない
という点も、矯正中の方に適しています。
特徴③ 矯正中の着色ケアにも有効
矯正中は、装置周囲に着色やくすみが起こりやすくなります。
トランセントフラッシュホワイトニングは、矯正中の清潔感を保ちたい方にも向いています。
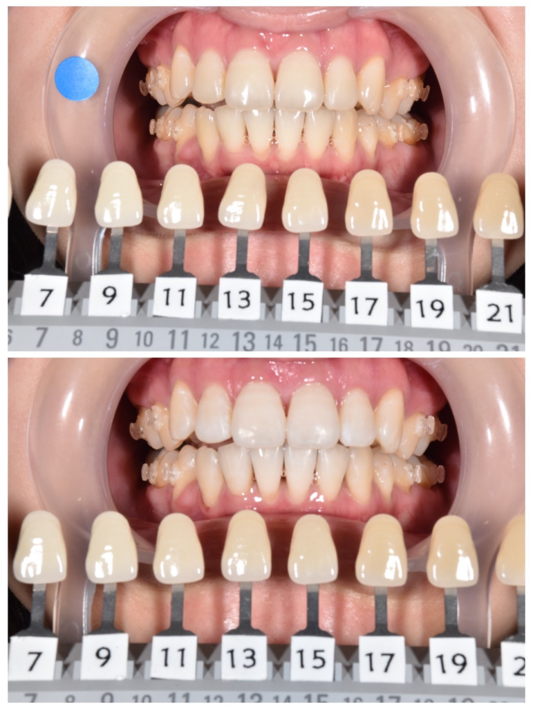
一番多い質問|本当に色ムラは出ないの?

この質問には、正直にお答えすることが最も大切だと考えています。
結論
大きな色ムラが出ることは、ほとんどありません。
歯の内部から白くする仕組みのため、表面処理型のホワイトニングに比べ、ブラケットによる色差は出にくいとされています。
ただし、知っておいていただきたいこと
ブラケット直下は光が直接当たらないため、わずかなトーン差が残る可能性はあります。
当院ではこれを前提に、
- 矯正中に白さのベースを整え
- 矯正終了後に仕上げのホワイトニングで均一に整える
という、
完成形から逆算したホワイトニング計画をご提案しています。
なぜ「矯正中」にホワイトニングをする意味があるのか

「どうせなら矯正が終わってから」
そう考える方もいらっしゃいます。
しかし、矯正中だからこそ得られるメリットもあります。
- 矯正中の着色・黄ばみ対策
- 装置があっても清潔感を保てる
- 歯が白いことで、矯正期間中の印象が大きく変わる
- モチベーションを保ったまま治療を続けられる
矯正が終わるまで我慢するのではなく、ゴールまで前向きに過ごすためのホワイトニングです。
天神南矯正診療歯科が大切にしていること

当院は、矯正治療を専門に行う歯科医院です。
そのため、
- 矯正の進行状況
- 歯の動き
- 装置の種類や状態
を総合的に判断し、ホワイトニングをおすすめしない判断をすることもあります。
「できるからやる」ではなく、「やるべきかどうか」を一緒に考える。
それが、矯正専門クリニックとしての責任だと考えています。
矯正中の方にもお勧め|トランセントフラッシュホワイトニング

矯正中の方にもお勧めのトラセントフラッシュホワイトニングは、
- 矯正治療の進行を妨げない
- 色ムラリスクを最小限に配慮
- 矯正終了後の仕上げまで見据えた設計
※歯や装置の状態によっては、施術をおすすめしない場合もあります。
まずは「できるかどうか」の相談からで構いません

- 自分は対象になる?
- 色ムラが心配
- 今のタイミングで問題ない?
そうした疑問に、矯正治療を専門にしている歯科医師の視点でそれぞれの装置に配慮したホワイトニング施術を行えます。
安心してご相談ください。




