こんなお悩みありませんか?
- 歯の黄ばみが気になって思いきり笑えない
- 歯を痛めてしまわないか心配
- 結婚式に向けて白くしたいけれど間に合う?
- 矯正装置がついて着色が気になる
- ホワイトニングの種類が多く、
どれが良いのか分からない - どれくらい白くなるか不安
- 妊娠中、授乳中でもホワイトニングして大丈夫?
そのお悩み
当院にご相談ください

当院がトランセントホワイトニングを
行う4つの理由
当院は福岡初の
トランセントホワイトニング認証施設です。
【トランセントホワイトニング】登録商標 一般医療機器 歯面漂白用加熱装置 CoolBright トランセントフラッシュ(届出 No.13B2X10368000006)と一般医療機器 EX トランセント DB(届出 No.13B2X10368000009)を用いたオフィスホワイトニングです。

知覚過敏を生じる
漂白剤を使わず痛みはVisual Analogic Scale 1以下をコントロール
高濃度の漂白剤を使用するホワイトニングは痛みや沁みといった術中術後の副作用が課題でした。
当院が推奨するトランセントホワイトニングは、過酸化水素や過酸化尿素など一般的なホワイトニングで用いる薬剤を使用せず、一般医療機器高出力パルス出力LEDを利用した光漂白です。
歯と体に負担が少ないだけでなく、1回わずか10分の照射での平均シェード8(VITA Bleachedeguide 3D-MASTER®︎)の効果が期待できます。

年齢も食事も制限なし
ストレスなく歯を白く
高濃度漂白剤を使用しないためお子様から妊婦さん、授乳中でも施術が可能です。
歯の内側に働きかける光漂白なので、矯正器具を装着中の方、内部着色が強くなるシニアの方でも確かな効果が期待できます。
さらに治療中の飲食制限が不要。
いつもと変わらない生活を送りながら治療できるのも魅力の一つです。

高出力の光照射で
ウイルスや歯周病予防にも
使用する国内認証一般医療機器〈医療用高出力パルス青色LED光照射機〉CoolBrightエックスリミット(届出番号:13B2X10368000006)は、技術習得が難しく導入されているのは世界でも限られた施設のみ。
福岡では当院が初の導入院です。
高出力の光を照射することで歯の表面にとどまらず、内部着色まで分解し、トーンアップはもちろん、ウイルスや歯周病などの殺菌効果、象牙質の強化なども期待できます。
薬剤を使用するホワイトニングでは困難だったテトライサクリン歯や失活歯にも施術が可能です。

白い歯を美しく保つ
ブラッシングホワイトニング
ご自宅では通常の歯磨き粉を、クエン酸と重曹でできた〈EXクリーナー〉(一般医療機器 届出番号:13B2X10368000003)に置き換えるだけで、ブラッシングによるホームホワイトニングを実現。
歯を白くしながらバイオフィルムコントロールで虫歯と歯周病予防も強化でき、負担も少ないので安心して継続していただけます。
治療に関する不安や質問などはいつでもお尋ねください。
「一生美しい歯」を目指してサポートします。
トラセントホワイトニングの
デメリット
天神南矯正診療歯科では治療内容のデメリットやリスクもしっかりとご説明します。
トラセントホワイトニングのデメリットに「価格」が挙げれます。
使用する機器が高額であり、術者の研修時間、認証基準などが厳格に定められているため、導入費や運営コストが施術料に反映されてしまいます。
一方、高濃度漂白剤を使用するホワイトニングは歯へのダメージリスクがあり、制限が多くリピートが難しいデメリットがあります。
当院では、1回の照射で得られる効果の高さと、歯へのダメージの少なさなど、安全性と長期的視点からトランセントホワイトニングをおすすめしています。
下記に当てはまる方はホワイトニングができません。
妊娠初期(15週まで)、妊娠後期(28週から)、膠原病、無カタラーゼ症、喘息、ヘルペス、口角炎、口内炎
光線アレルギー、SLE、心疾患、脳血管疾患、重度感染症、重度顎関節症
当院は、
歯を通して健康で
豊かな人生をサポートする
「歯の一生相談窓口」です
機能性と審美性の両面から診断し、
可能なかぎり神経を残す治療法をご提案。
ずっと美しい歯を患者様と
二人三脚で育てていきます。
トランセントホワイトニングのご案内
ご予約はこちらから
ご不明点がございましたら、
カウンセリングも行なっていますので
お気軽にご予約ください。
トラセントホワイトニングの導入は
福岡では当院のみです。

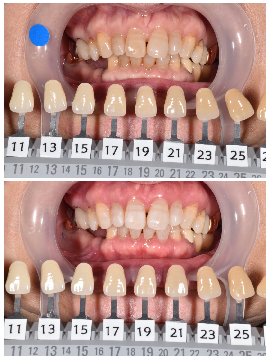
症例紹介
当院で行った症例をご紹介いたします。
ホワイトニングの流れ

カウンセリング
歯の色のチェックやその原因、ホワイトニングの手順やリスクなど詳細にお伝えしています。

ホワイトニング
歯石やステインが付着している状態では効果が低減してしまうため、施術前にプロフェッショナルクリーニングを行います。

チェック
どれくらい白くなったかシェードガイドと照らし合わせながらチェックします。

白さをキープするためのサポート
艶のある白い歯をキープするための工夫、歯の色をコントロールする方法などをご説明します。

ご自宅でのケアについて
ご自宅でできるチェック法とホームケアをご案内いたします。
料金について
※料金はすべて税込価格です。
| 初診料 | カウンセリング 3,850円(60分) |
|---|---|
| 再診料 | 1,650円 |
| 自費 クリーニング |
6,600円(前歯・小臼歯) 13,200円(全顎) |
| トランセントフラッシュ ホワイトニング |
44,000円(光治療によるオフィスホワイトニング) ※当院でホワイトニングまたは保険受診後最終来院から3ヶ月内の来院の方は39,600円(通常価格より10%オフ)、当院で矯正治療を受けられた方は22,000円(通常価格より50%オフ)となります。 |
| ブラッシング ホワイトニング |
8,800円(EXクリーナー) ※優しいブラッシング圧、正しいブラシの当て方をレッスン 黄ばみだけでなく虫歯、歯周病の原因のバイオフィルムをコントロールします。 |
料金例
例:初診でホワイトニングのご依頼をいただいた場合の料金例
- カウンセリング
- 3,850円(60分)
- トラセントホワイトニング
- 44,000円(60分)
- 合計 47,850円
トラセントホワイトニングの特徴
| 特徴 | 過酸化物の薬剤使用しません。 高出力LEDによる光治療による ホワイトニング (医療機器認証番号正確に記載必要) |
|---|---|
| 効果シェード 変化 |
8 |
| 知覚過敏 | なし |
| 食事制限 | なし |
| 妊娠中安定期 授乳中 |
可能 |
| 矯正治療中 | 可能 |
| リスク | 熱感灼熱感による歯肉炎 治療に伴うリスクや副作用についてはこちら |
よくある質問
ホワイトニングは歯にダメージが出ると聞き不安です。
一般的なホワイトニング(過酸化水素や過酸化尿素などの薬剤を使用する施術)は、有機質分解による漂白作用で知覚過敏や歯肉への火傷が生じることがありますが、トランセントホワイトニングは光を使った漂白のためそのようなダメージの心配はありません。
トランセントホワイトニングで使用する高出力LEDは、歯質強化、ウイルスや歯周病菌の殺菌作用の働きがあると言われており、口腔内にプラスαの効果が期待できます。
施術に痛みはありますでしょうか?
個人差はありますが、多くの患者様が「光の温かさを感じる程度」の感想です。トランセントホワイトニングは限りなく痛みを軽減した施術ではありますが、不安な患者様にはその都度痛みの確認を行いながら進行していきますのでご安心ください。
妊娠中でもホワイトニング可能でしょうか?
はい、可能です。従来のホワイトニングでは妊娠中、授乳中のお母さんはできなかったのですが、当院が採用しているトラセントホワイトニングは、妊娠安定期・授乳中の方にもご利用いただけます。
結婚式や同窓会などに向けてホワイトニングを行いたいのですが間に合いますか?
イベントに合わせてスケジュールを確認しています。ホワイトニングの効果は個人差がございますので、お日にちに余裕を持ってご相談をよろしくお願いします。




