矯正装置による歯の黄ばみが気になる方のホワイトニング症例
矯正治療中は、
「装置があるからホワイトニングはできない」
「色ムラになりそうで不安」
と、白い歯をあきらめてしまう方も少なくありません。
しかし、トランセントホワイトニングであれば、矯正装置に配慮しながらホワイトニングを行えるケースがあります。
こちらは、コンテスト前に歯の黄ばみが気になるというお悩みで来院された、30代後半女性・矯正治療中の方の症例です。
大事なイベントを前に、矯正専門の歯科医師が装置や歯の状態を確認したうえで、トランセントホワイトニングを行いました。
※治療効果には個人差があります。
※本症例は一例であり、同様の結果を保証するものではありません。
年代・性別
30代後半/女性
主訴
・コンテスト前にホワイトニングをしたい
矯正装置による歯の黄ばみが気になる
Before

After

| 年代 | 30代後半 |
|---|---|
| 性別 | 女性 |
| 主訴 | コンテスト前にホワイトニングをしたい 矯正装置による歯の黄ばみが気になる |
| 診断・状態 | 矯正治療中でブラケット装置を装着しており、装置周囲の黄ばみや歯の色調が気になる状態でした。 大事なイベントを控えていることから、矯正装置に配慮しながら行えるホワイトニングをご希望されました。 |
| 治療内容 | トランセントホワイトニング (トランセントフラッシュホワイトニング) ・初診料:3,850円 ・再診料:1,650円 ・オフィスホワイトニング:1回 |
| 内訳 | ・ホワイトニング照射:10分×1回 ・EXクリーナー:1箱 |
| 使用機器 | • 一般医療機器 歯面漂白用加熱装置 CoolBright トランセントフラッシュ (届出番号:13B2X10368000006) • 一般医療機器 EXトランセントDB (届出番号:13B2X10368000009) |
| 治療期間・回数 | 1回(10分照射) |
| 費用 | 上記治療内容に準ずる ※費用は治療当時のものであり、変更となる場合があります。 |
| 副作用・リスク | トランセントホワイトニングに伴い、以下の副作用が生じる可能性があります。 軽度の歯肉炎熱感灼熱感 ※本症例では、上記副作用は認められませんでした。 ※ペインスケール:1以下 |
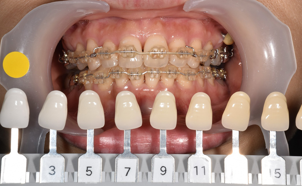
| 治療結果 | 施術前後で歯の色調が改善し、VITAシェードガイドにて「11 → 3」への変化が確認されました。 矯正装置による黄ばみが軽減され、大事なイベント前に笑顔への自信を持っていただけました。 ※効果には個人差があります。 ※本症例は一例であり、同様の結果を保証するものではありません。 |
| 担当医コメント | 矯正中は装置の影響で着色や黄ばみが気になりやすい時期です。 当院では、矯正治療を専門に行う歯科医師の管理のもと、装置に配慮しながらホワイトニングを行っています。 今回の症例では、過酸化剤を使用しないトランセントホワイトニングを選択し、知覚過敏のリスクにも配慮しながら施術を行いました。 大事なイベントを控えている方や、矯正中の黄ばみが気になる方は、お気軽にご相談ください。 |
| このような方におすすめ | ・矯正中でもホワイトニングをしたい方 ・矯正装置による黄ばみが気になる方 ・イベントや写真撮影を控えている方 ・知覚過敏が心配でホワイトニングをためらっている方 |
ホワイトニングに伴う一般的なリスク・副作用について
-
一時的な熱感・灼熱感を感じる場合があります
-
軽度の歯肉炎を伴うことがあります
-
効果やシェードアップの程度、持続期間には個人差があります
-
生活習慣により後戻りが生じることがあります
当院は、
歯を通して健康で
豊かな人生をサポートする
「歯の一生相談窓口」です
機能性と審美性の両面から診断し、
可能なかぎり神経を残す治療法をご提案。
ずっと美しい歯を患者様と
二人三脚で育てていきます。



